It’s common knowledge that braces make your teeth straight, but how do they do it? Put simply, braces gently push your teeth in a specific direction and as the tooth moves, the bone structure that holds the tooth changes shape. Once teeth have been aligned, the braces come off and a retainer is usually worn to help your mouth keep the teeth in place and assure that the teeth stay in their new positions. Orthodontic procedures such as braces or Invisalign can give anyone the straight smile they want, but even after treatment has been completed, teeth can shift and bring you back to where they started.
- Before
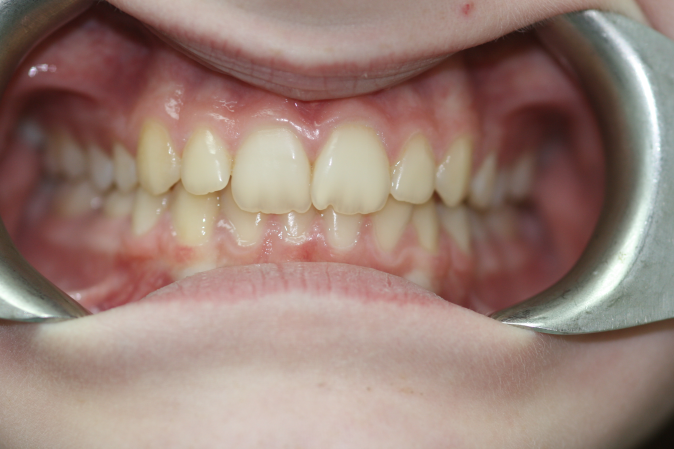
- After
In the above pictures, the effectiveness of orthodontic treatment can clearly be seen. Prior to wearing braces, this patient had gaps, crooked teeth and an overbite. After braces, their teeth were aligned, straight and beautiful!
There are several forces that result in shifting, most of which are out of our control:
- Genetics are the blueprint for how our bodies are built. If your instructions didn’t include the program for your teeth to be straight, you can thank mom and dad.
- The labial frenum on the inside of your lips can affect your tooth alignment by moving the two front teeth apart. If this is causing serious issues, it can be removed by your dentist or oral surgeon.
- Getting older can be tough, and cause your teeth to misalign. Enamel begins to wear away as the space between teeth thins out, the tissue becomes weaker, and their alignment can change from the pressure of top teeth pushing against bottom teeth.
The opportunity for your teeth to shift can be limited by taking control of these factors:
- Are you a lip biter? The constant pressure of tucking your lower lip behind your upper teeth can cause your front teeth to shift outward. So this is one nervous tick you should try to eliminate.
- Stress is the root of many health and psychological issues. It can also cause bruxism (also known as clenching and grinding) which can force the upper arch out of alignment.
- Just like any other dental issue, good oral hygiene is absolutely vital. Severe tooth decay or restoration from cavities can change the force a tooth puts on the others, thereby changing their alignment. If decay is extremely bad and a tooth is lost, that loss of pressure can also affect alignment.
A common misconception is how wisdom teeth may impact your straightened teeth. For the most part if your dentist or orthodontist recommends the removal of your wisdom teeth it is due to our mouths not being large enough to accommodate the extra four teeth, meaning there won’t be enough room for them to grow in. Impacted wisdom teeth will not move the teeth in the front of your mouth, but there can be many other complications from not having them removed.
If you have more questions about cosmetic orthodontics or why your teeth are shifting, leave a comment or make an appointment with us at Smiles Unlimited Dentistry, P.C.!


