We all know that you only get one chance to make a first impression, and one of the most influential factors in making a good first impression is a nice smile. People who are self-conscious about their teeth are often hesitant to smile, which can make them seem reserved or unfriendly. On the flip side, people with nice bright, straight teeth often love to show off their vibrant smile and give off a warm and welcoming personality.
So, what make someone feel embarrassed by their smile? Some of the biggest issues are crooked teeth, gaps in between teeth, chipped teeth or problems with the shape or size of one’s teeth. However, many of these issues make a person a great candidate for bonding or veneers.
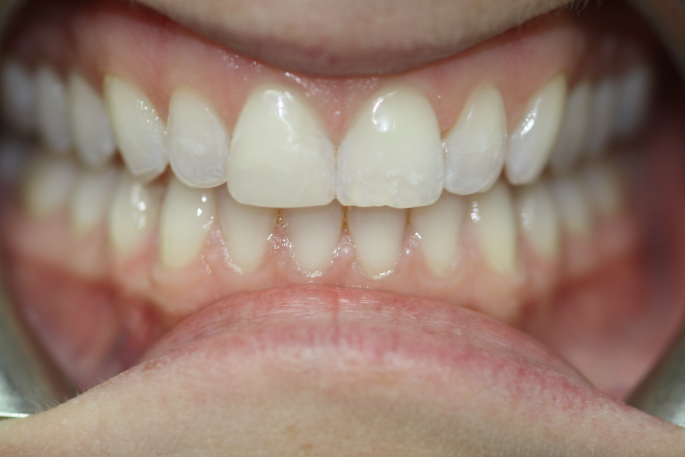
In the photos above, dental bonding was used to restore this tooth from trauma. Dental bonding involves the use of tooth colored material that is adhesively incorporated onto the tooth, similar to a filling. Using this procedure the shape, size, color, or length of teeth can be made more pleasing to the eye. It is relatively quick and cost-effective, but it is not as strong or reliable as alternative porcelain restoration options. Additionally, over time, bondings may need to be touched up because of staining or chipping.
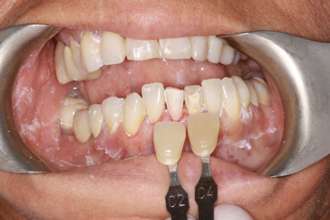
The patient above was dissatisfied with their lower teeth, but with veneers they were able to get a great natural looking smile. Porcelain veneers are thin shells made of tooth colored material that cover the front the front of teeth. They don’t change color over time, and can be used to change the shape and length of teeth. Veneers are a more time-consuming procedure than bonding, but they are much more versatile. If too much tooth structure has been lost, a tooth can then be prepped for a crown and be reshaped in a way similar to veneers. If your teeth or gum tissue is uneven, your cosmetic dentist can adjust the alignment and give you the smile of your dreams.
Dr. Richard M. Richman is a leader in cosmetic dentistry and is available to speak with you about how veneers or bonding can change your smile for the better!




